
Chiropractic care can bring relief to patients with scoliosis

According to the National Scoliosis Foundation, roughly 2 to 3 percent of Americans are living with scoliosis today.1 That equates to around seven million people in this country alone. So, what is scoliosis, what causes it, and how is it treated? Let’s examine each of these questions now.
What is scoliosis?
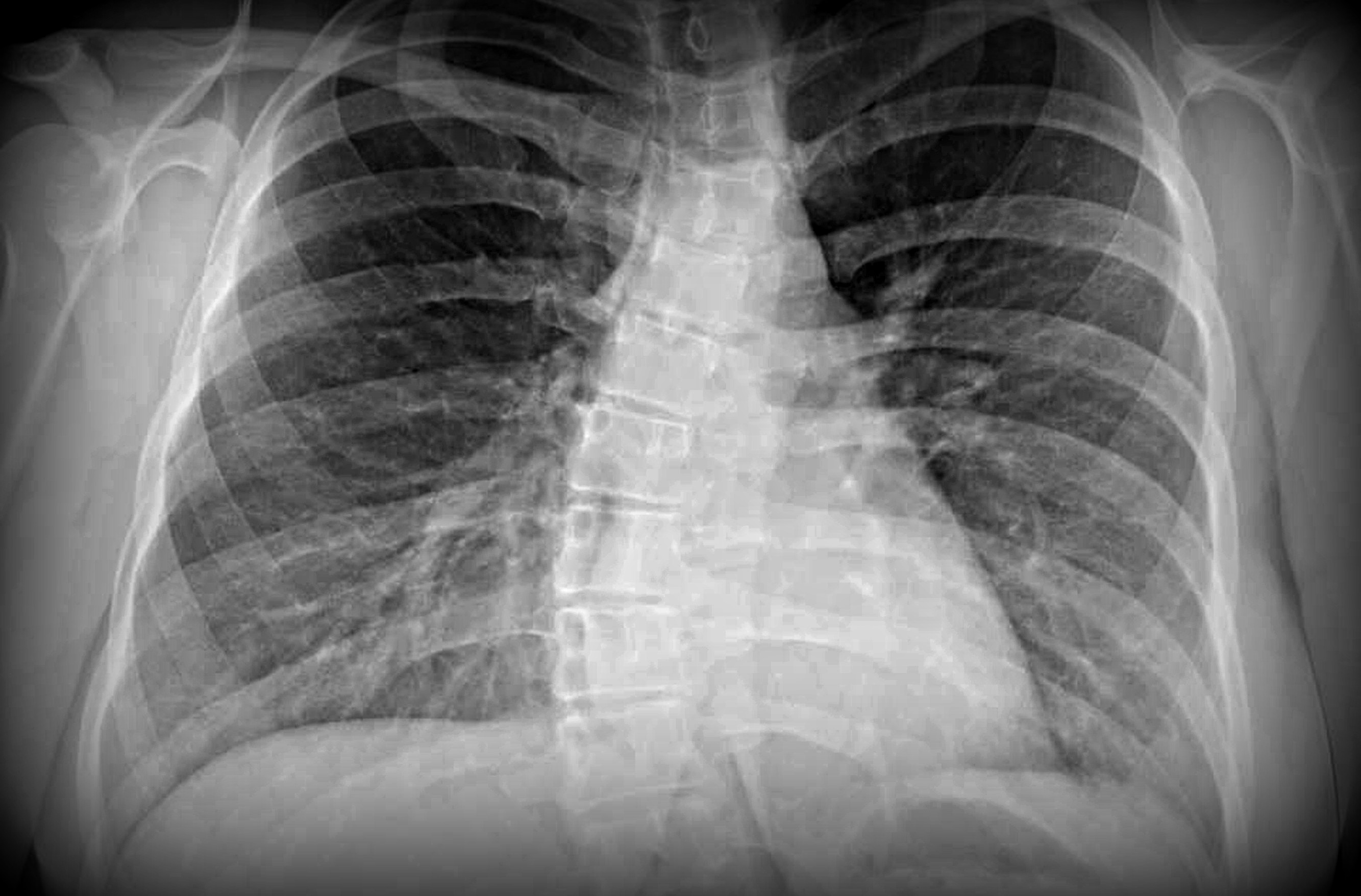
Scoliosis is a condition characterized by “a sideways curve of the spine, or backbone.”2 This curvature is typically in the shape of a “C” or “S” and can usually be diagnosed based on a person’s family history, conducting a physical examination, and X-rays of the spine.
While anyone can develop scoliosis, a majority of the cases start with children who are in their pre-teens, or 10 to 12 years old. Additionally, girls tend to be diagnosed with this condition at a higher rate than boys. A number of factors may determine whether any person, adolescent or otherwise, will develop scoliosis.
What causes scoliosis?
Most scoliosis diagnoses are classified as idiopathic, which means that the cause is unknown. But it does appear to potentially have a genetic component. Therefore, it’s generally recommended that family members be tested if a parent or sibling has it.
Some causes can be identified, though, and those cases can be classified as either nonstructural or structural. Nonstructural scoliosis refers to scoliosis not related to the structure of the spine, which can be alleviated by finding and rectifying the source.3
Structural scoliosis, on the other hand, is related to the structure of the spine and can be caused by injury or infection, disease or defect.
How is scoliosis treated?
If the curvature is mild, a doctor may opt to simply observe the patient to ensure that it doesn’t get worse. If the curvature is moderate or severe, however, the best course of treatment for a scoliosis patient is usually determined by four factors:
- Scoliosis type
- The person’s age
- Anticipated growth the person has yet to undergo
- Scoliosis curvature degree and pattern
A moderate curve might warrant a brace. This helps stabilize the spine so the curvature doesn’t worsen. An alternative form of treatment involves chiropractic care, and research confirms that this particular remedy offers many positive results.
For example, a study published in the Journal of Chiropractic Medicine involved 28 individuals diagnosed with scoliosis.4 Each person engaged in chiropractic care for a period of roughly six months. Their Cobb angle (the angle of the curvature), level of pain, and level of disability were all assessed at the beginning of the study, after the treatment concluded, and 24 months post-study.
Researchers found that chiropractic care for scoliosis resulted in the patients experiencing lower levels of pain and disability, as well as improvement in the angle of the curvature. Therefore, this type of treatment offers many projected benefits to those living with scoliosis.
References
1 National Scoliosis Foundation. “Information and support.” http://www.scoliosis.org/info.php. Published Aug. 13, 2003. Accessed June 8, 2015.
2 National Institute of Arthritis and Musculoskeletal and Skin Diseases. What is scoliosis? “Fast facts: An easy-to-read series of publications for the public.” http://www.niams.nih.gov/health_info/scoliosis/scoliosis_ff.asp. Published November 2014. Accessed June 8, 2015.
3 WebMD. “Scoliosis – treatment overview.” http://www.webmd.com/back-pain/tc/scoliosis-treatment-overview. Updated March 12, 2014. Accessed June 8, 2015.
4 Morningstar M. Outcomes for adult scoliosis patients receiving chiropractic rehabilitation: a 24-month retrospective analysis. J Chiropr Med. 2011;10(3): 179-184.